研究開発におけるマルチフィジックスシミュレーションの具体例
さまざまな業界のエンジニア, 研究者, 科学者がマルチフィジックスシミュレーションを使用して革新的な製品の設計とプロセスを研究および開発しています. COMSOL カンファレンスで発表したテクニカルペーパーやプレゼンテーションからインスピレーションを得てください. 以下の選択項目を参照するか, クイック検索ツールを使用して特定のプレゼンテーションを検索するか, アプリケーション領域でフィルタリングします.
COMSOL Conference 2024 論文集を見る
Pultrusion of fibre-reinforced thermoplastic composites presents challenges due to the complexity of achieving uniform curing, particularly when transitioning from traditional thermosetting resins to sustainable, recyclable thermoplastic options. Effective control over parameters like ... 詳細を見る
Increased traffic and load on railway infrastructure require regular inspection of track components. Railway track elements such as fasteners, insulation joints, and weld joints are subjected to extreme loading conditions, making their regular inspection essential for ensuring the safety ... 詳細を見る
For the first time, a comprehensive coupled 2D electrothermal and elastoplastic transient model of a second-generation planar-gate 4H-SiC vertical MOSFET was developed using COMSOL Multiphysics® to evaluate device behavior under extreme short-circuit conditions (T=300-1500 K). Such ... 詳細を見る
Dams, levees, and dikes play a critical role in flood prevention. There can be simple earthen embankments or engineered designs with low permeable cores and/or drainage facilities. Unlike cement dams there is flow of water in earthen embankments. The latter are unsaturated in the upper ... 詳細を見る
A Tesla valve has a fixed geometry and its purpose is to be a check valve. This valve is named after its inventor Nikola Tesla and the patent to this has been published in the year 1920 [1]. In the reverse direction, the flow resistance is higher compared to the flow resistance in ... 詳細を見る
The stellarator concept developed by Renaissance Fusion makes use of a lithium free surface flow surrounding the plasma fusion core. Understanding the instability mechanism of this flow is of primary importance for controlling it. We use COMSOL Multiphysics® to solve the 1D linear ... 詳細を見る
Induction heating (IH) [1] is a good candidate for decarbonization of chemical processes: energy savings, process intensification and production costs reduction [2-5]. Heat can be generated directly into the reactor at the surface in contact with the gas flux passing through a specific ... 詳細を見る
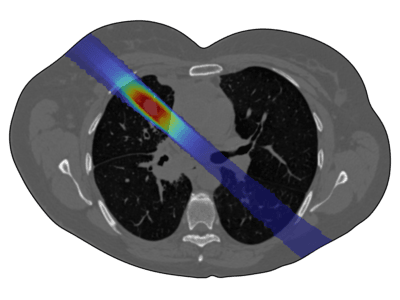
Radiation therapy is a key cancer treatment, used in over 50% of cases, either as a standalone or in combination with surgery and chemotherapy. It involves delivering ionizing radiation to damage cancer cell DNA, preventing their proliferation. Conventional radiotherapy mainly employs X ... 詳細を見る
Magnetic confinement fusion devices make use of very intense magnetic fields, typically of the order of several teslas. Extracting the heat to eventually produce electricity is provided by liquid metals flowing in ducts, sometimes with free surface. Interaction between the magnetic field ... 詳細を見る
Integrating exothermic and endothermic reactions within a single reactor offers a promising strategy to enhance overall thermal efficiency. However, existing systems often suffer from limited heat transfer performance due to design and heat transfer constraints. To overcome this ... 詳細を見る
